
MDR1 +/+ RD/CEA /PRA/KAT frei ( DOK )
DM N/N CEA N/N PRA N/N GCS N/N
HUU N/N MH N/N IPD N/N
DMS aabb Merl m/m( frei )
HD B1 ED 0 OCD frei LWÜ 1
Darksable /white
American Lines : 84,33 %

MDR1 +/+ RD/CEA/PRA/KAT frei (DOK )
DM N/N CEA N/N PRA N/N GCS N/N
HUU N/N IPD N/N DMS Aabb Merl m/m(frei )
HD A ED 0 LWÜ 0
Darksable /white
American Lines :100%

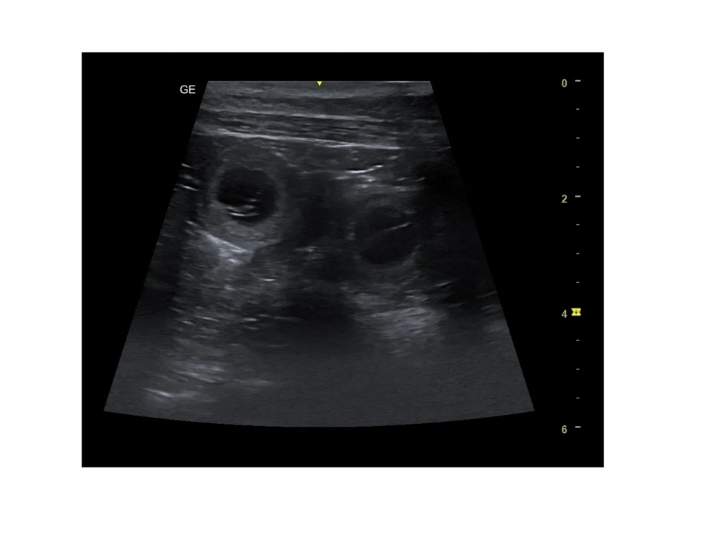
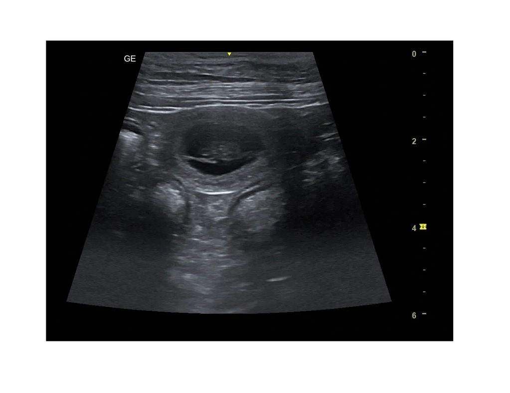
18.04.24
Heute waren wir beim Ultraschall .Wie gehofft ist Ayla tragend ,ihr gehts prima .Noch sieht man ihr äußerlich nichts an ,dass wird sich aber bald ändern

Wir haben einige Fruchthüllen gesehen die sich gleichmäßig in den Gebärmutter Hörnern verteilt haben
26.04.24 Ayla gehts weiter prima ,die leichte Übelkeit die sie die letzte Woche zeigte ist vorüber ,sie hat jetzt mehr Hunger und ich habe ihre Futterration angepasst .Sie liebt unsere Spaziergänge will aber nicht mehr toben

1.05.24 Ayla ´s 6.Trächtigkeitswoche hat begonnen ,die Organe der Welpen sind weitgehend angelegt ,die Fell Farbe entwickelt sich ,sie sind jetzt ca.5 cm groß. Ayla Zitzen treten jetzt deutlich hervor und sie hat auch schon ein klein wenig an Bauch Umfang zugelegt . Ihr geht aber prima !
9.05.24 7.Woche Aylas Bauchumfang ist merklich größer geworden ,genauso ihr Appetit .

12.5.24 8.Trächtigkeitswoche
Wir haben die Wurfbox aufgestellt um Ayla daran zu gewöhnen

19.5.24 Wir sind in der letzten Trächtigkeitswoche angekommen .Ayla ist merklich ruhiger geworden ihr dicker Bauch ist jetzt nicht mehr zu übersehen auch das Gesäuge ist jetzt schon voll ausgebildet. Am Abend plagen sie die ein oder andere Senkwehe ,sie liegt dann hechelnd in ihrer Wurfbox. Wir gehen jetzt immer nur noch kleine Gassirunden,längere Strecken schafft sie nicht mehr .








































































































Diese Website verwendet Cookies. Durch weitere Nutzung dieser Website stimmst du der Verwendung von Cookies zu. Datenschutzerklärung